Online mestringsforløb med succes
Udvikling af online mestringsforløb for voksne med ADHD/ADD skaber nye muligheder for støtte og trivsel til vores patienter.

Udvikling af online mestringsforløb for voksne med ADHD/ADD skaber nye muligheder for støtte og trivsel til vores patienter.

Vi tager ansvar for sundhed – hele vejen rundt. Få et indblik i alle de mange gode initiativer, som du kan læse om i vores nye CSR rapport for 2024.

Olivia Andersen er netop kåret til Årets Førstehjælper 2025 for sin hurtige og livreddende indsats, da hendes toårige datter Bianca pludseligt ikke kunne trække vejret.

Lise-Lotte er sygeplejestuderende på 2. semester og én af de studerende, som har været i praktik hos Aleris.

"Forebyggelsesalliancen for fremtidens sundhed" præsenterer i dag 10 klare målsætninger på forebyggelsesområdet i årtier.

Med individuel smertebehandling af rygopererede patienter har man på Aleris været i stand til at reducere antallet af ekstra indlæggelsesdøgn.

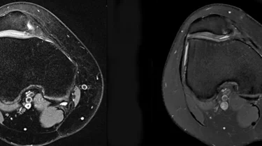
Ortopædkirurgi Lars Blønd har for nyligt udviklet en ny og vellykket operationsteknik til behandling af Artroscopisk Trokleoplastik, der udføres med en kikkertoperation.

Specialeansvarlig overlæge Søren Larsen underviste yngre ortopædkirurger i store håndskader og replantation

















